En Çok Okunanlar
Özet
Actinomyces europaeus, insanlarda nadiren infeksiyona neden olan, anaerob, Gram-pozitif, dallanan filamentöz yapıda bir bakteridir. Genellikle cilt ve yumuşak doku infeksiyonlarıyla ilişkilendirilir. Merkezi sinir sistemi (MSS) tutulumu ise son derece nadirdir. Bu yazıda, Türkiye’den bildirilen ilk MSS yerleşimli A. europaeus olgusu sunuldu. Şiddetli baş ağrısı ve sol üst ekstremitede güçsüzlük şikâyetleriyle başvuran 45 yaşındaki erkek hastada, sağ temporal lobda apse saptandı. Cerrahi drenaj sonrası apseden A. europaeus izole edildi. Hasta, 6 hafta intravenöz ampisilin tedavisinin ardından oral amoksisilin ile toplamda 6 ay tedavi edildi. İnfeksiyon kaynağı olarak kolesteatom saptandı ve radikal mastoidektomi uygulandı. Uzun süreli antibiyotik tedavisi ile cerrahi yaklaşımın birlikte uygulanması sonucunda tam klinik iyileşme sağlandı. Bu olgu, kronik otolojik infeksiyonu olan hastalarda nadir etkenlerin ayırıcı tanıda göz önünde bulundurulması gerektiğini göstermektedir.
GİRİŞ
Aktinomikoz, Actinomycetaceae familyasından filamentöz, Gram-pozitif anaerobik bakterilerin neden olduğu, yavaş seyirli granülomatöz bir infeksiyondur (1). Actinomyces türleri, orofarenks, gastrointestinal ve ürogenital sistemin normal florasında bulunur ve uygun koşullarda patojen hâle gelebilir (1). Aktinomikoz vücudun birçok bölgesini etkileyebilmekle birlikte en sık oroservikofasiyal, torasik ve abdominopelvik bölgelerde görülür (2,3). İnsan infeksiyonlarında en sık izole edilen tür Actinomyces israelii’dir (3).
Merkezi sinir sistemi (MSS) tutulumu nadirdir ve genellikle beyin apsesi, menenjit/meningoensefalit, subdural ampiyem ve spinal epidural apse gibi klinik tablolarla seyreder (4). Beyin apselerinden en sık izole edilen tür Actinomyces meyeri’dir (2). Actinomyces europaeus ise genellikle cilt ve yumuşak doku infeksiyonlarıyla ilişkilendirilen nadir bir türdür (2). Literatürde yalnızca beş MSS yerleşimli A. europaeus olgusu bildirilmiştir (2,5,6). Ayrıca, Türkiye’den Yesilbas ve arkadaşları (7) tarafından bildirilen pediatrik bir Actinomyces odontolyticus beyin apsesi olgusu mevcuttur.
Bu yazıda, sağ kulaktaki otojenik infeksiyon ve kolesteatom zemininde gelişen, literatürde nadir görülen ve bildirilen literatüre göre Türkiye’den bildirilen ilk MSS yerleşimli A. europaeus kaynaklı nadir bir beyin apsesi olgusu sunuldu. Bu sunumla, atipik etkenlerin ayırıcı tanıdaki öneminin vurgulanması ve klinisyenlerin bu nadir patojene yönelik farkındalığının artırılması amaçlanmaktadır.
OLGU
Kronik hastalığı bulunmayan 45 yaşında erkek hasta, şiddetli baş ağrısı ve sol üst ekstremitede güçsüzlük şikâyetleri ile acil servise başvurdu. Hastanın başvurusundan 10 gün önce sağ kulak ağrısı nedeniyle gittiği kulak burun boğaz (KBB) polikliniğinde akut otitis media tanısı aldığı ve oral antibiyotik tedavisi başlandığı öğrenildi.
Başvuru anında ateşi olmayan hastanın vital bulguları stabildi. Nörolojik muayenesinde; somnolan, gözlerini sözel uyaranla açan, tek kelimelik yanıtlar verebilen, kısmen oryante ve koopereydi. Pupiller izokorik ve ışık refleksleri bilateral pozitif olarak değerlendirildi. Sol üst ekstremitede parezi mevcuttu. Ense sertliği saptanmadı. Laboratuvar incelemelerinde; lökosit sayısı 13 490 /mm3, hemoglobin düzeyi 14.1 g/dl, trombosit sayısı 420 000/mm3, C-reaktif protein düzeyi 3 mg/lt, eritrosit sedimantasyon hızı 33 mm/s olarak bulundu.

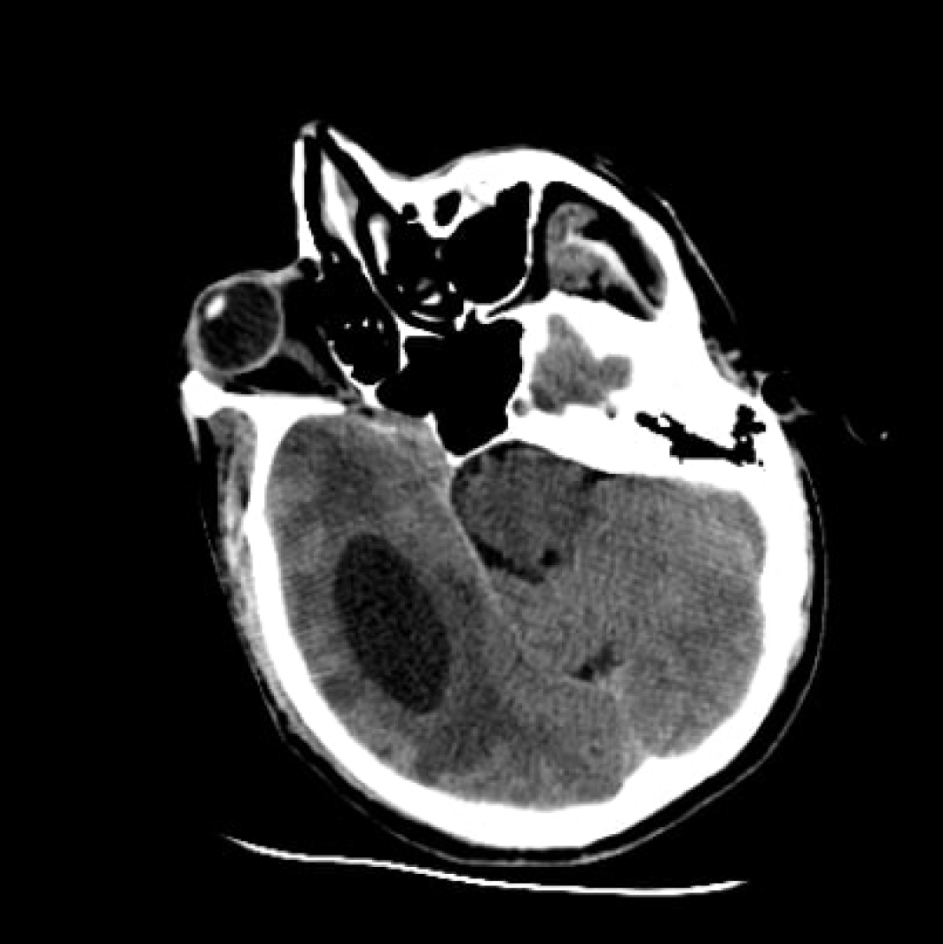
Şekil 1. Beyin Bilgisayarlı Tomografisinde Sağ Paryetotemporal
Bölgede Çevresel Ödem Eşliğinde Hipodens Kistik Lezyon.

Şekil 2. Kontrastlı Beyin Manyetik Rezonans Görüntülemede Sağ Temporal Lobda Periferik Kontrast Tutulumu Gösteren Kapsüllü Lezyon ve Çevresinde Vazojenik Ödem.
Beyin bilgisayarlı tomografisi (BT)’nde sağ parietotemporal bölgede 4.5 × 4 cm boyutlarında, çevresinde ödem bulunan kistik lezyon izlendi ve görünüm öncelikle malignite lehine yorumlandı (Şekil 1). Kontrastlı beyin manyetik rezonans görüntüleme (MRG)’de, sağ temporal lobda T1 sekansında hipointens, FLAIR’da hiperintens, internal membranöz yapılar içeren, kalın kapsüllü, çevresinde vazojenik ödem bulunan, periferal kontrast tutan 63 × 33 mm boyutunda kitle lezyonu saptandı. Sağ lateral ventrikül kompresyonu ve orta hatta sola doğru kayma mevcuttu (Şekil 2).
Hasta acil olarak opere edildi. Sağ temporobazal bölgeden kortikotomi ile girilerek pürülan, sarı renkli ve kötü kokulu apse boşaltıldı; apse duvarı eksize edildi. Ampirik olarak seftriakson [2 g, intravenöz (İV), 2 × 1] ve metronidazol (500 mg, İV, 4 × 1) tedavisi başlandı.
Peroperatif apse kültüründe A. europaeus (Gleimia europaea) üremesi saptandı. Mevcut üreme MALDI-TOF (matris yardımlı lazer desorpsiyon/iyonizasyon-uçuş süreli kitle spektrometrisi) ile tanımlandı. Antibiyotik duyarlılık testleri çalışılmadı. Kültür sonucuna göre tedaviye ampisilin (2 g İV, 6 × 1) ile devam edildi. Patolojik incelemede reaktif gliozis alanları ve apse odakları içeren kronik aktif inflamasyon
izlendi.
Sağ kulakta devam eden akıntı ve ağrı nedeniyle çekilen temporal kemik BT’de; sağ mastoid hücrelerden timpanik kaviteye uzanan yumuşak doku dansitesi ve kemikçiklerde erozyon izlendi. Kolesteatom lehine yorumlanan bu bulgular üzerine, infeksiyon kaynağının kolesteatom olduğu düşünüldü. Hastaya bir hafta sonra sağ radikal mastoidektomi uygulandı.
Postoperatif dönemde İV ampisilin tedavisi toplam 6 hafta sürdürüldü. Ardından hasta, amoksisilin (2 g oral, 2 × 1) tedavisiyle taburcu edildi. Toplam antibiyotik tedavi süresi 6 aya tamamlandı. Takiplerinde nörolojik sekel saptanmadı.
Bu yazı için hastadan aydınlatılmış onam alındı.
İRDELEME
Aktinomikozun MSS tutulumu nadirdir; genellikle akciğer, batın veya pelvis gibi uzak odaklardan hematojen yayılım yoluyla ya da kulak, sinüsler, servikofasiyal bölge gibi komşu infeksiyonlardan doğrudan geçişle meydana gelir (4). Literatürdeki MSS yerleşimli A. europaeus olgularının üçü Arjantin kaynaklı bir seride otitis media kökenli beyin apsesi olarak bildirilmiştir (5). Dördüncü olgu, pediatrik yaşta, polimikrobiyal etkenlerin eşlik ettiği bir beyin apsesi olgusudur (6). Beşinci olgu ise Amerika Birleşik Devletleri’nden bildirilen, mastoidit kaynaklı epidural apsesi bulunan ve nörolojik komplikasyonlar sonucu kaybedilen 69 yaşında bir kadındır (2). Bildiğimiz kadarıyla sunduğumuz bu olgu Türkiye’den bildirilen ilk MSS tutulumlu A. europaeus hastasıdır.
Literatürde bildirilen olguların prognozlarının farklılık gösterdiği görülmektedir. Özellikle Bhojwani ve arkadaşlarının (2) sunduğu 69 yaşındaki kadın olguda, mastoidit kökenli A. europaeus beyin apsesi tanıdaki gecikme ve hızlı klinik kötüleşme nedeniyle serebellar infarkt, sinüs ven trombozu, hidrosefali ve ventrikülit gibi komplikasyonlarla seyretmiş ve hasta kaybedilmiştir (2). Buna karşın, erken tanı konulan ve uygun cerrahi ile uzun süreli antibiyotik tedavisi uygulanan olgularda tam iyileşme sağlandığı bildirilmiştir (5,6). Bizim olgumuzda da erken cerrahi drenaj ve uzun süreli antibiyotik tedavisi ile tam klinik yanıt elde edilmesi, prognozda erken tanı ve uygun tedavi yaklaşımının önemini desteklemektedir.
Merkezi sinir sistemi aktinomikozu olgularının %50’sinden fazlasında beyin apsesi geliştiği ve en sık etkilenen bölgelerin frontal ve paryetal loblar olduğu bildirilmiştir (8). Bizim olgumuzda da temporal lob tutulumu mevcuttu. Baş ağrısı ve fokal nörolojik defisitler MSS tutulumunda en sık karşılaşılan semptomlardır (8). Hastamızda da benzer şekilde baş ağrısı ve sol üst ekstremitede güçsüzlük gözlendi. Görüntülemede saptanan kapsüllü lezyon, kitle etkisine yol açtı ve hasta başlangıçta malignite ön tanısıyla değerlendirildi. Aktinomikozun kronik seyirli, invazif ve kitle benzeri görünümü sıklıkla neoplazilerle karıştırılmasına neden olmaktadır (8).
Tanı, infekte materyalin histopatolojik ve mikrobiyolojik incelemesiyle konur (9). Şüpheli olgularda alınan örneklerin doğrudan mikroskobik değerlendirmesinde Gram-pozitif, dallanan filamentöz bakterilerin kitleler hâlinde görülmesi tanı açısından karakteristiktir; sülfür granülleri de tipiktir, ancak her zaman saptanmayabilir (10). Actinomyces türlerinin, tür düzeyinde tanımlanması için MALDI-TOF MS ve 16S rRNA dizileme gibi ileri moleküler yöntemler önerilmektedir (3).
Literatürde bildirilen olgularda izolatların penisilin, vankomisin ve linezolide karşı genellikle yüksek duyarlılık gösterdiği; buna karşın klindamisin ve eritromisin gibi makrolidlere karşı duyarlılığın türler arasında değişkenlik gösterdiği bildirilmiştir (5). Bununla birlikte türler arasında minimum inhibitör konsantrasyon (MİK) düzeylerinde farklılıklar olduğu; A. europaeus ve Actinomyces turicensis’in en dirençli türler arasında yer aldığı bildirilmektedir (10).
MSS aktinomikozu tedavisinde genellikle en az 3–6 aylık antibiyotik tedavisi önerilmekte, yetersiz klinik yanıtta tedavi süresi uzatılmaktadır (8). Meena ve arkadaşları (8) tarafından yapılan sistematik bir derlemede, cerrahi müdahale ile birlikte uzun süreli antibiyotik tedavisinin sağkalımı artırdığı gösterilmiştir. Bu bulgular, sunulan olguda uygulanan tedavi yaklaşımını desteklemektedir. Hastaya uygulanan cerrahi drenaj ve ardından 6 haftalık İV ampisilin tedavisi sonrası, 6 aya tamamlanan oral amoksisilin tedavisiyle tam klinik iyileşme sağlandı. Ayrıca infeksiyon odağı cerrahi olarak ortadan kaldırıldı ve odak kontrolü sağlandı.
Bu olgu, A. europaeus’un nadir de olsa beyin apsesi etkeni olabileceğini göstermektedir. Kronik otolojik infeksiyonu bulunan hastalarda ayırıcı tanıda bu patojenin göz önünde bulundurulması gereklidir ve erken cerrahi müdahale ile uzun süreli, hedefe yönelik antibiyotik tedavisinin başarıyı artıracağı unutulmamalıdır.
Hasta Onamı
Hastadan bilgilendirilmiş onam formu alınmıştır.
Danışman Değerlendirmesi
Bağımsız dış danışman
Yazar Katkıları
Fikir/Kavram – B.Ç., E.Z., A.A., H.Y.; Tasarım – B.Ç.; Denetleme – E.Z.; Malzemeler/Hastalar – A.A., H.Y.; Veri Toplama ve/veya İşleme – B.Ç.; Analiz ve/veya Yorum – B.Ç.; Literatür Taraması – B.Ç.; Makale Yazımı – B.Ç.; Eleştirel İnceleme – E.Z., H.Y., A.A.
Çıkar Çatışması
Yazarlar herhangi bir çıkar çatışması bildirmemiştir.
Finansal Destek
Yazar finansal destek beyan etmemiştir.
Yapay Zekâ Kullanım Beyanı
Çalışmanın tüm bilimsel içeriği, veri analizi ve sonuçları yazarlara aittir. Araştırmanın tasarımı, veri analizi ve yorumlanmasında yapay zekâ destekli araçlar kullanılmamıştır.
Referanslar
- Miller S, Walls T, Atkinson N, Zaleta S. A case of otitis media complicated by intracranial infection with Actinomyces turicensis. JMM Case Rep. 2014;1(4):e004408. [CrossRef]
- Bhojwani DR, Patel P, Kang SA, Bran A. Actinomyces europaeus brain abscess in a 69-year-old female causing irreversible neurologic complications. Cureus. 2023;15(8):e42868. [CrossRef]
- Imeneo A, Rindi LV, Di Lorenzo A, Cavasio RA, Vitale P, Spalliera I, et al. Brain abscess caused by Actinomyces turicensis in a non-immunocompromised adult patient: a case report and systematic review of the literature. BMC Infect Dis. 2024;24(1):109. [CrossRef]
- Perez A, Syngal G, Fathima S, Sandkovsky U. Actinomyces causing a brain abscess. Proc (Bayl Univ Med Cent). 2021;34(6):698–700. [CrossRef]
- Álvarez C, Almuzara M, Tosello C, Stecher D, Vay C, Barberis C. [Actinomyces europaeus (Gleimia europaea) associated with brain abscess: A report of three cases]. Rev Argent Microbiol. 2023;55(3):235–9. Spanish. [CrossRef]
- Pan J, Ho AL, Pendharkar AV, Sussman ES, Casazza M, Cheshier SH, et al. Brain abscess caused by Trueperella bernardiae in a child. Surg Neurol Int. 2019;10:35. [CrossRef]
- Yesilbas O, Yozgat CY, Nizam OG, Bursal Duramaz B, Turel O. Life-threatening multiple brain abscesses secondary to Actinomyces odontolyticus. Pediatr Int. 2020;62(11):1307–8. [CrossRef]
- Meena DS, Kumar D, Sharma M, Malik M, Ravindra A, Santhanam N, et al. The epidemiology, clinical presentation and treatment outcomes in CNS actinomycosis: a systematic review of reported cases. Orphanet J Rare Dis. 2023;18(1):133. [CrossRef]
- Hwang CS, Lee H, Hong MP, Kim JH, Kim KS. Brain abscess caused by chronic invasive actinomycosis in the nasopharynx: A case report and literature review. Medicine (Baltimore). 2018;97(16):e0406. [CrossRef]
- Könönen E, Wade WG. Actinomyces and related organisms in human infections. Clin Microbiol Rev. 2015;28(2):419–42. [CrossRef]
