En Çok Okunanlar
Özet
Bilateral multilober buzlu cam opasiteleri COVID-19 pnömonisinin karakteristik bulgusudur. Ancak buzlu cam opasitelerinin ayırıcı tanısı zordur. İlk olgu, tat ve koku kaybıyla başvurdu; idrarda Legionella antijeni pozitifti. İkinci olguda, daha çok üst lobları tutan bilateral buzlu cam görüntüleri ve lenfopeni vardı; radyolojik bulgular 8 ay önceki kontrol ile aynı olup hasta sarkoidoz tanısı almıştı. Üçüncü olgu nefes darlığı yakınmasıyla geldi ve Ulusal Sağlık Sistemi e-Nabız kayıtları incelendiğinde nonspesifik interstisyel/organize pnömonisi histolojik tanısı almış olduğu saptandı. Dördüncü olguda bilateral plevral efüzyon, interlobüler septa kalınlaşması ve havayolu çapında daralma gibi dekompanse kalp yetmezliğini düşündüren bulgular vardı; silik sınırlı multipl sentrilobüler buzlu cam görüntülerinin mevcudiyeti yandaş bir hastalığı düşündürdü ancak furosemid infüzyonuyla bu görüntüler 5 günde kayboldu. Beşinci olgu sadece sağ üst lobu tutan konsolidasyon ile başvurdu; fissürün intakt olması bakteriyel bir etyolojiyi düşündürdü ancak nazofaringeal örneklerin PCR testi COVID-19 için pozitifti. Bu bulgu COVID-19’a bağlı akciğer infiltrasyonunun infektif doğadan çok inflamatuar doğası olabileceğini gösterdi. Sonuç olarak ayırıcı tanıda eski görüntüleme tetkiklerinin değerlendirilmesi gerektiğini düşünüyoruz.
GİRİŞ
COVID-19 pandemisi gerek ülkemizde gerekse dünyada tüm şiddetiyle devam etmektedir. Sağlık hizmeti almak isteyen herkeste COVID-19 şüphesi oluşabilmektedir. Kesin tanıda kullanılan PCR (polimeraz zincir reaksiyonu) testinin tanı duyarlılığı %37-71 arasında değişmektedir (1). Bu nedenle olguların %85’inde gözlenen “buzlu cam” görüntüleri sayesinde toraks bilgisayarlı tomografi (BT) tanıda bir adım önde gitmektedir. Bununla beraber buzlu cam dansitesi oluşturan tek hastalık COVID-19 değildir. Bu yazımızda ayırıcı tanıda dikkat edilmesi gereken bazı durumları sunmayı amaçladık.
Hasta verilerinin kullanılması için Çanakkale Onsekiz Mart Üniversitesi Klinik Araştırmalar Etik Kurulu’ndan 03.06.2020 tarih ve KAEK-2020-08 karar numarasıyla onay alınmıştır.
OLGU 1
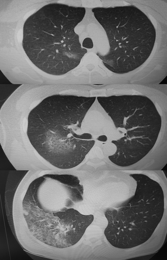
49 yaşında erkek hasta 4 gündür devam eden halsizlik, iştahsızlık, tat-koku alamama yakınmalarıyla başvurdu; ateş ve baş ağrısı yakınması yoktu. Hastanın toraks BT’sinde daha çok sağ alt lobu tutan, her iki üst lobda posterior segmentlerde, majör fissür önüne düşen alanlarda da izlenen buzlu cam görüntüleri izlendi (Resim 1). Periferik kan incelemesinde; lökosit 13 200/mm3 (11 800 nötrofil, 900 lenfosit), biyokimyasal analizlerde ALT 50 (Referans değer-RD: 5-41 Ü/lt), LDH 282 (RD: 135-225 Ü/lt), GGT 91 (RD: 8-61), sodyum 131 (RD: 135-145 mEq/lt), klor 95 (RD: 98-107 mEq/lt), fosfor 2.3 (RD: 2.6-4.5 mEq/lt), total protein 6.38 (RD: 6.6-8.7 gr/dl), CRP 258 (RD: 0-5 mg/dl), D-dimer 385 (RD: 0-243 ng/ml), ferritin 540 (RD: 30-400) idi. Diğer periferik kan ve biyokimyasal testler normaldi. Radyolojik olarak pnömoni düşünülen olguda rutin idrarda legionella antijeni istendi. Hastaya ampirik hidroksiklorokin ve favipiravir başlandı. Ertesi gün parmak ucundan ölçülen satürasyon değerleri,10 litre rezervuarlı nazal oksijen ile 80 seviyelerine düşünce hasta yoğun bakıma alındı. Tedaviye imipenem eklendi. İdrarda Legionella antijeni pozitif saptanan hastaya klaritromisin başlandı. Sodyum değerleri 108 mEq/lt’ye kadar düştü ve bilinç kaybı nedeniyle entübasyona gidildi. Sodyum replasmanı ve antiepileptik tedavi başlanan hastada epileptik eşiği düşürebileceğinden imipenem tedaviden çıkarıldı. COVID-19 PCR sonucu iki kez negatif çıktı. Ekstübe olan ve radyolojik düzelme gözlenen hasta önerilerle taburcu edildi. Bu olgu tat ve koku alamama yakınmasının COVID-19 dışı mikroorganizmalarda da olabileceğini; multilober ve posterior tutuluş gösteren buzlu cam görüntülerinin COVID-19’a spesifik olmayıp Legionella infeksiyonunda da görülebileceğini bize gösterdi.
OLGU 2

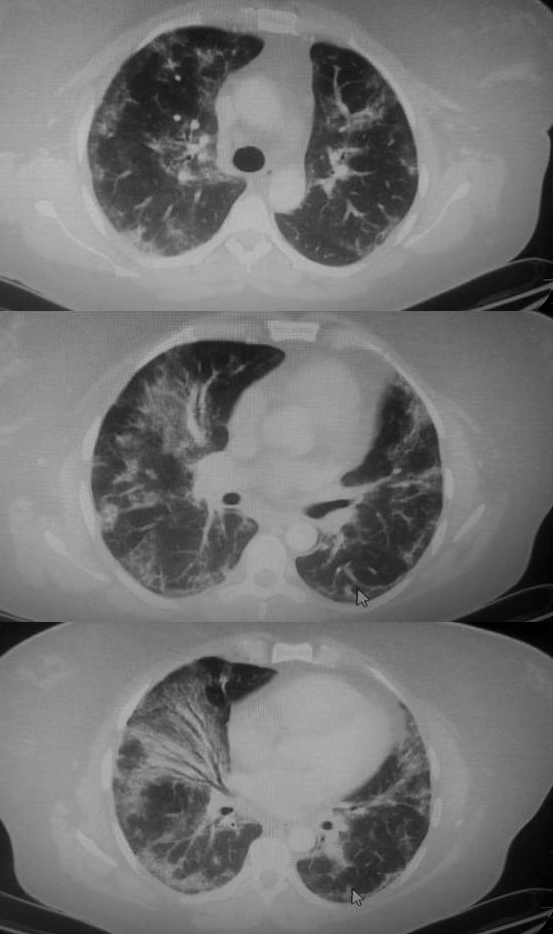
Resim 2. Üst loblarda yoğunlaşan ancak her iki akciğerde tüm loblarda tutuluş sergileyen konsolidasyon ve buzlu cam görüntüleri.
78 yaşında kadın hasta nefes darlığı yakınmasıyla başvurduğu dış merkezde akciğer oskültasyonunda iki taraflı raller duyulması ve pretibial ödem gözlenmesi nedeniyle kortikosteroid ve 2 ampül “lasix” yapılarak acil servisimize gönderilmişti. Parmak ucundan ölçülen satürasyon değeri 75 olan hasta hipertansiyon ve kronik obstrüktif akciğer hastalığı (KOAH) olduğunu ve evinde oksijen konsantratörü bulunduğunu ifade etmişti. Periferik kan incelemesinde; hematokrit %46 (RD: 31-42), nötrofil 7700/mm3, lenfosit 300/mm3, D-dimer 579 (RD: 0-243 ng/ml), LDH 410 (RD: 135-225 Ü/lt), üre 53 (RD: 16-48 mg/dl), sodyum 127 (RD: 135-145 mEq/lt), klor 85 (RD: 98-107 mEq/lt) idi. Toraks BT’de üst loblarda daha yoğun olmak üzere diğer lobları da tutan buzlu cam görüntüleri ve konsolidasyon alanları izlendi (Resim 2). Pulmoner arter çaplarının artmış olması, hastada kronik solunum yetmezliğine bağlı pulmoner hipertansiyon gelişmiş olabileceğini düşündürdü. e-Nabız sisteminden hastanın 8 ay önceki akciğer

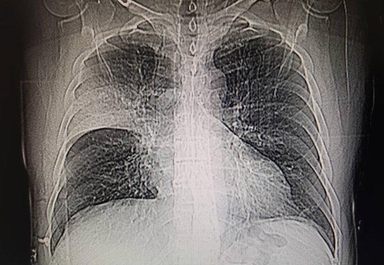
Resim 3. Akciğer grafisinde kardiyotorasik indeksin arttığı üst zonlarda parahiler bölgeleri silen, tüm zonları tutan nonhomojen dansite artışları.
grafisine (Resim 3) ulaşıldığında opasitelerin daha önceden de var olduğu anlaşıldı. Yine e-Nabız sisteminden hastaya daha önce biyopsi yapıldığı ve sarkoidoz tanısı aldığı görüldü. Bu olgu, buzlu cam görüntüsü ile gelen her hastanın özgeçmişinin olabildiğince iyi sorgulanması ve e-Nabız sisteminin araştırılması gerektiğini; sarkoidoz hastalığında lenfopeni olabileceğini; belirgin hiler ve mediyastinal lenfadenopati olmadan dağınık buzlu cam opasiteleri ve konsolidasyon görülebileceğini gösterdi. Sarkoidoz tedavisi amacıyla kortikosteroid tedavi başlanması düşünülen hasta başka hastaneye sevk edildi.
OLGU 3
47 yaşında kadın hasta son 1-2 haftadır devam eden öksürük ve nefes darlığı yakınmasıyla başvurdu. Parmak ucundan ölçülen satürasyon değeri oda sıcaklığında 94 idi. Toraks BT’de bilateral, tüm lobları tutan buzlu cam görüntüleri veya konsolidasyon alanları
mevcuttu (Resim 4). Periferik kan incelemesinde; lökosit 11 300/mm3 (6000 nötrofil, 4000 lenfosit), CRP 23 (RD: 0-5 mg/dl), LDH 303 (RD: 135-225 Ü/lt) idi. Diğer periferik kan ve biyokimyasal tetkikleri olağandı. PCR testi istenmeden önce hastanın özgeçmişi ayrıntılı bir şekilde sorgulandığında ve e-Nabız verileri incelendiğinde yaklaşık 1 yıl önce benzer yakınmalar nedeniyle başka bir sağlık kuruluşuna başvurduğu, açık akciğer biyopsisinde non-spesifik interstisyel pnömoni ve organize pnömoni tanısı aldığı öğrenildi. Radyolojik olarak lezyonlar bir yıl boyunca stabil kalmıştı. COVID-19 PCR sonucu negatif çıktı. Bu olgu bize, buzlu cam görünümü olan interstisyel akciğer hastalığı ayırıcı tanısının yapılması gerektiğini gösterdi. Aynı şekilde COVID-19 infeksiyonu ile altta yatan hastalığın beraberlik sergileyebileceği unutulmamalıdır.
OLGU 4
53 yaşında erkek hasta öksürük, nefes darlığı, karında şişlik ve ağrı yakınmalarıyla dış merkeze başvurmuş; hastada hızlı ventrikül yanıtlı atriyal fibrilasyon saptanmıştır. Toraks BT’de; bilateral plevral efüzyon ve interlobüler septalarda kalınlaşma, bronkovasküler demette kalınlaşmaya bağlı havayolu çapının azalması gibi peribronşiyal ödem bulguları

Resim 5. İnterlobüler septalarda kalınlaşmalar, bronkovasküler demette kalınlaşma, daha çok üst loblarda gözlenen silik sınırlı yuvarlak buzlu cam opasiteleri.
gözlenmesi (Resim 5) nedeniyle dekompanse kalp yetmezliği düşünüldü. Ancak hastanın üst lob ve bifurkasyon seviyesinden alınan kesitlerde, multipl nodüler buzlu cam görüntülerinin olması ve sağda plevral efüzyondan uzak bir bölge olan orta lob mediyal segment içinde buzlu cam görüntüleri gözlenmesi nedeniyle COVID-19 ekarte edilemedi. Periferik kan incelemesinde nötrofil 8300/mm3, lenfosit 1500/mm3, LDH 297 (RD: 135-225 Ü/lt), D-dimer 1178 (RD: 0-243 ng/ml), fibrinojen 495 (RD: 200-400 mg/dl) ve HBsAg pozitifti. Hastaya ampirik olarak favipiravir ve “lasix” infüzyonu başlandı. Beş gün sonra çekilen toraks BT’de bilateral plevral efüzyonun tamamen gerilediği, buzlu cam görünümlerinin sadece sağ alt lobda minimal düzeyde kaldığı izlendi. Bu olgu, kalp yetmezliği zemininde ayırıcı tanının zor olduğunu; kardiyojenik akciğer ödeminde nodüler buzlu cam desenlerinin oluşabileceğini; ekartasyonda sadece radyoloji ya da sadece serolojik testlere güvenilmemesi gerektiğini gösterdi.
OLGU 5
50 yaşında erkek hasta yurtdışındaki bir ülkeden geldiğini, 2-3 gündür öksürük ve kanlı balgam yakınması olduğunu ifade etti. Periferik kan incelemesinde lökosit 6800/mm3 (nötrofil 4700, lenfosit 1000), albümin 3.07, LDH 375 (RD: 135-225 Ü/lt), CRP 46 (RD: 0-5 mg/dl), ALT 95 (RD: 5-41), AST 121 Ü/lt, GGT 118 (RD: 8-61 Ü/lt) idi. Diğer biyokimyasal analizler normal sınırlardaydı. Akciğer grafisinde sağ üst lobdaki opasitenin minör fissür sınırına kadar ulaştığı ancak
fissürü geçemediği gözlenmekteydi (Resim 6). Fissürü geçemeyen tek lob konsolidasyon alanları bakteriyel pnömoniyi düşündürdü. Bu nedenle hastaya hidroksiklorokin, azitromisin ve seftriakson tedavisi başlandı. Ancak nazofaringeal sürüntü örneği COVID-19 pozitif olarak bildirildi. Bu olgu COVID-19’a bağlı alveoler eksüdanın fissürleri geçemeyebileceğini, COVID-19 pnömonisinde alveoler boşluktaki eksüdanın infektif natürden çok inflamatuar bir karakterde olabileceğini göstermektedir.
İRDELEME
Koku alma yeteneğinin kaybı (anosmia) veya azalması (hyposmia) viral üst solunum yolu infeksiyonlarında olfaktor nöroepitelyumun hasarına bağlıdır. Tat duyusu kaybı (agesuia) veya azalması (hypogeusia) da özünde koku kaybı veya azalmasına ikincil olarak gelişmektedir (2). İnfluenza infeksiyonunda %11-40 oranında bildirilen tat veya koku disfonksiyonu, COVID-19 olgularının %33-88 kadarında gözlenmekte, %12-27’sinde ilk semptom olarak ortaya çıkmakta ve kadınlarda daha sık görülmektedir (2). Literatürde Legionella infeksiyonuna bağlı anosmia veya hyposmia beraberliğinden bahseden bir çalışma bulamadık. İlk olguda, tat ve koku kaybının nedeni rinit yaratacak başka bir mikroorganizma ile eşzamanlı infeksiyon olabilir. Ancak bu semptomların Legionella santral sinir sistemi tutuluşuna (3) bağlı gelişebileceğini düşünüyoruz.
COVID-19 akciğer tutuluşu daha çok periferik ve posterior kısımlarda yerleşen bilateral multilober buzlu cam görüntüleri ile kendini gösterse de nadiren konsolidasyon, hiler lenfadenopati, kavitasyon, plevral efüzyon, pnömotoraks, perikardiyal efüzyon da görülebilir (4). Sarkoidoz için klasik bir bulgu olan hiler lenfadenopatinin viral infeksiyonlarda gözlenebilmesi ayırıcı tanıda sarkoidozun da düşünülmesini gerekli kılmaktadır. İkinci olgunun BT kesitlerinde alveoler opasitelere eşlik eden lineer opasitelerin fibrozisi düşündürmesi ve yine lezyonların daha çok üst lobları tutması nedeniyle ayırıcı tanıda tüberküloz, evre 2 sarkoidoz, subakut hipersensitivite pnömonisi ve silikozis akla geldi. Yine BT kesitlerinde pulmoner arter çapının artması, pulmoner hipertansiyon lehine bir bulgu olarak değerlendirildi; dolayısıyla hastada akciğerdeki lezyonların kronik bir akciğer hastalığına sekonder olduğu düşünüldü. Meslek öyküsü olmayan ve kaviter lezyon gözlenmeyen hastada, 8 ay önceye ait grafisindeki lezyonların stabil seyretmesi nedeniyle tüberküloz ve silikozis ayırıcı tanıdan dışlandı. Sarkoidozda, aktif inflamatuar süreç nedeniyle lenfositlerin dokuya çekildiği bu nedenle lenfopeni meydana geldiği öne sürülmektedir (5).
Akciğer hem hava hem de kanı buluşturan organ olduğundan gerek kan gerekse hava yoluyla gelebilecek zarar verici faktörler için hedef teşkil etmektedir. Farklı hasar verici faktörler (infeksiyon, ilaç reaksiyonu, toksik gaz inhalasyonu, kolajen vasküler hastalıklar, vb.) hangi yoldan gelirse gelsin alveolün verdiği yanıt hep aynıdır; alveol-kapiller bariyerinin yıkılması neticesinde alveol içine eksüda sızması. Hasar verici uyarının ortadan kalktığı durumlarda alveol içindeki eksüda alveoler makrofajlar tarafından temizlenmektedir. Bu süreci sekteye uğratacak patolojiler alveol içindeki eksüdanın rezorpsiyonunu engellerse eksüda fibroblastlar tarafından invaze edilip fibroz dokuya dönüştürülür. Buna “organize pnömoni” adı verilmektedir (6). Alveolde sıvı toplanması radyolojik olarak akciğer doku dansitesini yumuşak doku dansitesine dönüştürmektedir. Dansitenin yoğunluğuna göre başta buzlu cam görüntüleri olurken yoğunluk arttıkça konsolidasyon ortaya çıkmaktadır. Nonspesifik interstisyel pnömoni, hipersensitivite pnömonisi, radyasyon pnömonisi, kolajen vasküler hastalıkların akciğer tutuluşu gibi pek çok hastalıkta organize pnömoni odakları görülebilmektedir. Etyoloji bilinemiyorsa, “kriptojenik organize pnömoni” denilmektedir. Organize pnömoni de tıpkı COVID-19 gibi periferi tutan buzlu cam görüntüleri yapmaktadır. Organize pnömoni olgularının %45 kadarı fibrotik nonspesifik interstisyel pnömoniye dönüşmektedir. Üçüncü olgumuzun geçmiş tanıları incelendiğinde bir yıl önce nonspesifik interstisyel pnömoni ve organize pnömoni tanısı aldığı öğrenilmiştir.
Akciğer ödemi de buzlu cam görüntüleri yapabilen başka bir patolojidir. Bununla beraber COVID-19’un tersine daha çok santral bölgeleri tutmaktadır (6). Dördüncü olgumuzda yamalı nodüler buzlu cam görüntüleri olması kafa karıştırıcı bir faktör idi. İnterstisyel ödemin sonucu oluşan interlobüler septalarda kalınlaşma hem kalp yetmezliğinde hem de COVID-19 pnömonisinde görülebilmektedir (1). İnterlobüler septa kalınlaşması durumlarında septal venler nodüler görünüm oluşturabilmektedir (7). Literatürde dördüncü olgumuza çok benzer bir olgunun sunulduğunu saptadık. Bu olguda da, kalp yetmezliği tedavisiyle silik sınırlı nodüler buzlu cam opasiteleri bir haftada düzelmiştir (8). Ayırıcı tanıda malign hastalık, invazif aspergilloz ilk planda akla gelmelidir. İlaçlar eşzamanlı kalp yetmezliği ve akciğerde nodüler görünümler oluşturabilmektedir (9). Diğer yandan nodüler buzlu cam görüntüleri COVID-19 akciğer tutuluşunda da görülebilmektedir (10).
Tek taraflı segmenter veya tek taraflı lobar konsolidasyon, bakteriyel infeksiyonu düşündürmektedir (6). Mikroorganizma, alveolleri birbirine bağlayan kanallar boyunca tüm loba yayılabilmektedir. Bakteriler mikron düzeyinde canlılar olduklarından fissür gibi anatomik bariyerleri geçemezken virusler nanometrik boyutlarıyla bu tür engelleri kolayca aşabilmektedir. Bu nedenle viral pnömoniler her iki akciğerde birden fazla lobda tutuluş yapma eğilimindedir (11). Beşinci olgumuzda sadece sağ üst lobu tutan ve fissüre kadar gelip dayanan ama fissürü geçemeyen konsolidasyon alanı mevcudiyetinde bakteriyel etyoloji düşündük. Ancak sürüntü örneği hastanın COVID-19 olduğunu gösterdi. Bakteriyolojik olarak kültürde üreme saptanmasa da mikst bir infeksiyon olma ihtimali mevcuttur. Diğer yandan Epstein-Barr virusu (EBV) ve sitomegalovirus (CMV) pnömonilerinde de lober konsolidasyon gözlenebileceği bildirilmiştir (12). Fissürü geçemeyen ama alveoler boşlukları dolduran eksüdatif sıvının viral yükünün oldukça düşük olduğu düşünülmüştür.
Etik Kurul Kararı
Hasta verilerinin kullanılması için Çanakkale Onsekiz Mart Üniversitesi Klinik Araştırmalar Etik Kurulu’ndan 03.06.2020 tarih ve KAEK-2020-08 karar numarasıyla onay alınmıştır.
Danışman Değerlendirmesi
Bağımsız dış danışman.
Yazar Katkıları
Fikir/Kavram – U.G.; Tasarım – U.G.; Denetleme – U.G., T.G., M.R., A.Ş.; Malzemeler/Hastalar – U.G., T.G.; Veri Toplama ve/veya İşleme – U.G., T.G., M.R.; Analiz ve/veya Yorum – U.G., A.Ş.; Literatür Taraması – U.G., T.G.; Makale Yazımı – U.G., T.G., M.R., A.Ş.; Eleştirel İnceleme – U.G., A.Ş.
Çıkar Çatışması
Yazarlar herhangi bir çıkar çatışması bildirmemiştir.
Finansal Destek
Yazarlar finansal destek beyan etmemiştir.
Referanslar
- Parekh M, Donuru A, Balasubramanya R, Kapur S. Review of the chest CT differential diagnosis of ground-glass opacities in the COVID era. Radiology. 2020;297(3):E289-302. [CrossRef]
- Melley LE, Bress E, Polan E. Hypogeusia as the initial presenting symptom of COVID-19. BMJ Case Rep. 2020;13(5):e236080. [CrossRef]
- Johnson JD, Raff MJ, Van Arsdall JA. Neurologic manifestations of Legionnaires’ disease. Medicine (Baltimore). 1984;63(5):303-10. [CrossRef]
- Mughal MS, Rehman R, Osman R, Kan N, Mirza H, Eng MH. Hilar lymphadenopathy, a novel finding in the setting of coronavirus disease (COVID-19): a case report. J Med Case Rep. 2020;14(1):124. [CrossRef]
- Günaydın FE, Turan D, Yıldırım BZ, Cansever L, Özgül MA. A Case of Sarcoidosis with diffuse cavitary lesion in the lung. Istanbul Med J. 2019;20(14):356-9. [CrossRef]
- Kligerman SJ, Franks TJ, Galvin JR. From the radiologic pathology archives: organization and fibrosis as a response to lung injury in diffuse alveolar damage, organizing pneumonia, and acute fibrinous and organizing pneumonia. Radiographics. 2013;33(7):1951-75. [CrossRef]
- Storto ML, Kee ST, Golden JA, Webb WR. Hydrostatic pulmonary edema: high-resolution CT findings. AJR Am J Roentgenol. 1995;165(4):817-20. [CrossRef]
- Borie R, Debray MP, Jondeau G, Crestani B. Multiple pulmonary nodules: and if it was not a cancer. Thorax. 2011;66(11):1018. [CrossRef]
- Ferreira PG, Costa S, Dias N, Ferreira AJ, Franco F. Simultaneous interstitial pneumonitis and cardiomyopathy induced by venlafaxine. J Bras Pneumol. 2014;40(3):313-8. [CrossRef]
- Xia T, Li J, Gao J, Xu X. Small solitary ground-glass nodule on CT as an initial manifestation of coronavirus disease 2019 (COVID-19) pneumonia. Korean J Radiol. 2020;21(5):545-9. [CrossRef]
- Reynolds JH, McDonald G, Alton H, Gordon SB. Pneumonia in the immunocompetent patient. Br J Radiol. 2010;83(996):998-1009. [CrossRef]
- Franquet T. Imaging of pulmonary viral pneumonia. Radiology. 2011;260(1):18-39. [CrossRef]


