En Çok Okunanlar
Günümüzde sıtma halen yüksek ölüm oranlarına neden olan yaygın bir hastalık olarak karşımıza çıkmaktadır. Dünya Sağlık Örgütün (DSÖ)’nün son raporuna göre, 2020 yılında dünya genelinde tahmini olarak 241 milyon olgu tespit edilmiş ve 627 000 ölüm meydana gelmiştir (1). Ülkemizde uzun yıllardır önemli bir halk sağlığı sorunu olan sıtma hastalığında olgu sayıları başarılı kontrol programlarının sonucu giderek azalmış ve yerel olgu sayısı 2009’da 38, 2010’da sıfır ve 2011’de dört nüks olarak kaydedilmiştir. Son yıllarda ülkemizden bildirilen sıtma olguları yurtdışı kökenli olup 2016 yılında 208 ve 2017 yılında 204 importe olgu bildirilmiştir (1).
Sıtma, tanı ve tedavisi aciliyet gerektiren bir infeksiyon hastalığıdır. Kesin tanısı kalın damla ve ince yayma preparatlarında Plasmodium’ların görülmesi ile konur. Düşük parazitemiye ve inceleyenin tecrübesine bağlı olarak sıtma tanısı ve tür tayinin yapılması mikroskopik inceleme ile zor olabilir. Son yıllarda, özellikle saha çalışmalarında kullanılmak üzere Plasmodium türlerini ayırt edebilen sıtmaya özgü hızlı tanı testleri kullanıma girmiştir (2). Bu testler mikroskopinin yerini alamaz ancak nispeten deneyimsiz personel tarafından sıtma tanısında ek bir test olarak yararlı olabilir (3). Bu mektupla, karşılaştığımız bir olgudan hareketle söz konusu testlere dikkat çekmeyi amaçladık.
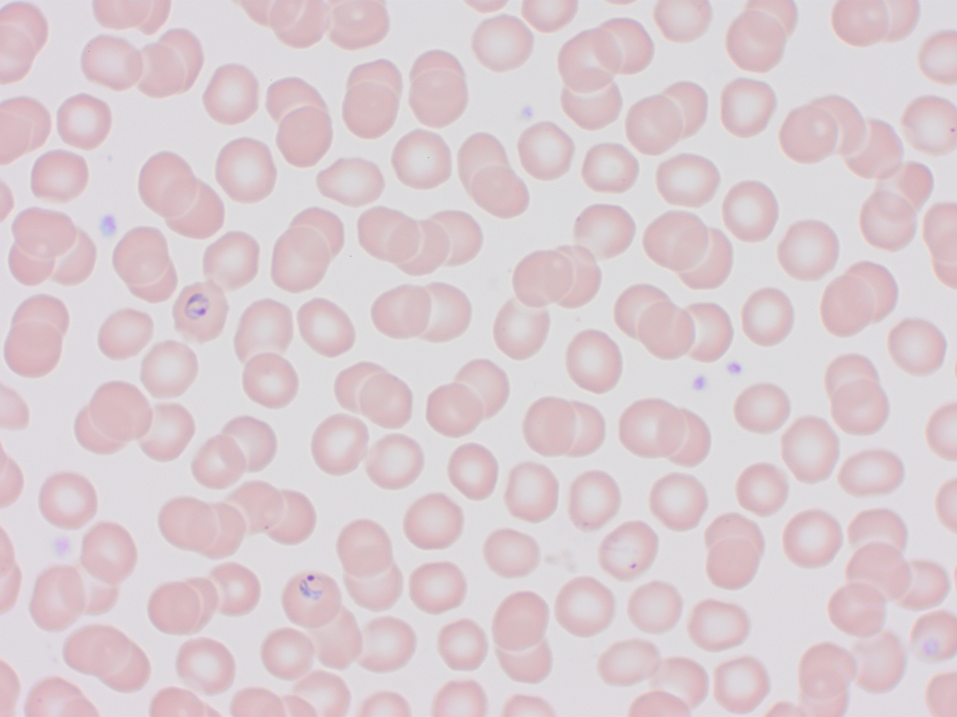
İki ay süreyle Liberya’da çalışan, 24 yaşında erkek hasta, Türkiye’ye döndükten beş gün sonra başlayan ateş, üşüme, titreme, halsizlik, iştahsızlık, bulantı-kusma, kas ağrıları şikayetleri ile hastanemize başvurdu. Çalıştığı şirket tarafından kendisine verilen Bioline™ Malaria Ag Pf/Pan (Abbott, ABD) hızlı tanı testini uygulayan hasta pozitif sonuçlanan kiti yanında getirmişti (Resim 1). Hasta daha önce sıtma geçirmediğini ve sıtma için proflaksi almadığını bildirdi; 38.4°C ateşi dışında fizik muayenesi ve başvuru tetkiklerinde CRP yüksekliği (16.4 mg/l) dışındaki değerleri normaldi. Ateşli dönemde alınan ince yaymada eritrositler içinde taşlı yüzük formasyonları görüldü (Resim 2). Artemeter 20 mg/ lumefantrin 120 mg (2×4 tablet) tedavisine hemen başlandı ve ilaç üç gün verildi. Tedavinin üçüncü gününde yaymada parazite rastlanmadı, trombositopeni, lökopeni, alanin aminotransferaz (ALT), aspartat transferaz (AST) ve bilirubin değerleri yükseldi. Hepatit ve HIV test sonuçları negatifti. Yatışının altıncı günü hastanın ateşi normale döndü ve şifa ile taburcu edildi.
Ülkemizde sıtmanın yayılmasını önlemek, morbidite ve mortaliteyi azaltmak için importe olguların hızlı teşhis ve tedavisi kritik bir öneme sahiptir. Tedavi edilmemiş P. falciparum sıtması; bir iki saat içerisinde şiddetli hastalığa ilerleyebilmekte ve koma (serebral sıtma), metabolik asidoz, ağır anemi, hipoglisemi, akut böbrek yetmezliği veya akut pulmoner ödem bulgularından biri veya birkaçı ile kendini göstermektedir. Bu nedenle sıtma semptomlarının başladığı ilk 24-48 saat içerisinde tedaviye başlanması son derece önemlidir (2).
Hızlı tanı testlerinde; tüm Plasmodium türlerinde bulunan Plasmodium laktat dehidrogenaz (pLDH) Ag ve P. falciparum’a özgü histidin açısından zengin protein II (HRP-II) Ag varlığı antikor aracılığıyla aranmaktadır. Mikroskopi ile karşılaştırıldığında pLDH tabanlı testin duyarlılığı %88 ve özgüllüğü %92, HRP-II tabanlı testin duyarlılığı %97, özgüllüğü %71’dir (4).
Olgumuzdaki gibi hastaların kendi uygulayabileceği kadar basit olan hızlı tanı testlerinin özellikle mikroskopik incelemede uzman olmayan birimler için erken tanı ve tür tayinine katkısı çok kritik olabilir.
Hasta Onamı
Hastadan bilgilendirilmiş onam formu alınmıştır.
Danışman Değerlendirmesi
Bağımsız dış danışman.
Yazar Katkıları
Fikir/Kavram – A.S.T., T.Ö.K.; Tasarım – T.Ö.K., A.S.T.; Denetleme – A.A., A.S.T., T.Ö.K.; Malzemeler/Hastalar – A.S.T., A.A.; Analiz ve/veya Yorum – T.Ö.K., A.S.T., MAA; Literatür Taraması – A.S.T., T.Ö.K. MAA; Makale Yazımı – A.S.T., T.Ö.K., MAA; Eleştirel İnceleme – A.A., A.S.T., T.Ö.K.
Çıkar Çatışması
Yazarlar herhangi bir çıkar çatışması bildirmemiştir.
Finansal Destek
Yazar finansal destek beyan etmemiştir.
Referanslar
- World malaria report 2021 [Internet]. Geneva: World Health Organization. (erişim 15 Eylül 2022) https://www.who.int/teams/global-malaria-programme/reports/world-malaria-report-2021
- Sıtma vaka yönetimi rehberi, 2019 [Internet]. Ankara: T.C. Sağlık Bakanlığı Halk Sağlığı Genel Müdürlüğü Zoonotik ve Vektörel Hastalıklar Dairesi Başkanlığı. [erişim 15 Ağustos 2022]. https://hsgm.saglik.gov.tr/depo/birimler/zoonotik-ve-vektorel-hastaliklar-db/Dokumanlar/Rehberler/Stma_Vaka_Ynetim_Rehberi_2019.pdf
- Rogers CL, Bain BJ, Garg M, Fernandes S, Mooney C, Chiodini PL; British Society for Haematology. British Society for Haematology guidelines for the laboratory diagnosis of malaria. Br J Haematol. 2022;197(3):271-82. [CrossRef]
- Hopkins H, Bebell L, Kambale W, Dokomajilar C, Rosenthal PJ, Dorsey G. Rapid diagnostic tests for malaria at sites of varying transmission intensity in Uganda. J Infect Dis. 2008;197(4):510-8. [CrossRef]

