En Çok Okunanlar
Özet
Nadir olarak görülen infektif endokardit (İE), gelişen tanı ve tedavi seçeneklerine rağmen halen yüksek mortalite oranına sahip bir infeksiyon hastalığıdır. Bu yazıda; akut koroner sendrom, akut serebrovasküler hastalık, menenjit ve sepsis tanılarıyla takip edilen ve transtorasik ekokardiyografide mitral kapak vejetasyonu saptanması ve kan kültüründe Staphylococcus aureus üremesi sonucunda İE tanısı konulan 41 yaşındaki erkek hasta sunuldu. Ülkemizde antistafilokoksik penisilinlerin olmaması nedeniyle, kan kültürlerinde metisiline duyarlı S. aureus üreyen hastanın tedavisi, kısıtlı seçenekler arasından vankomisin ve sefazolin ile düzenlendi. Olgumuz, İE’nin tanısı için şüpheci yaklaşıma gerek olduğunu ve hastalığın farklı komplikasyonlarla ilerleyebileceğini hatırlatmak amacıyla sunuldu.
GİRİŞ
İnfektif endokardit (İE), kalbin endokardiyal yüzeyinin bakteriyel infeksiyonundan kaynaklanan multisistemik bir hastalıktır. Nadir olarak görülür ancak gelişen tanı ve tedavi seçeneklerine rağmen yüksek mortalite oranına sahiptir. Hastalığın erken tanınması, yönetimi açısından son derece önemlidir.
OLGU

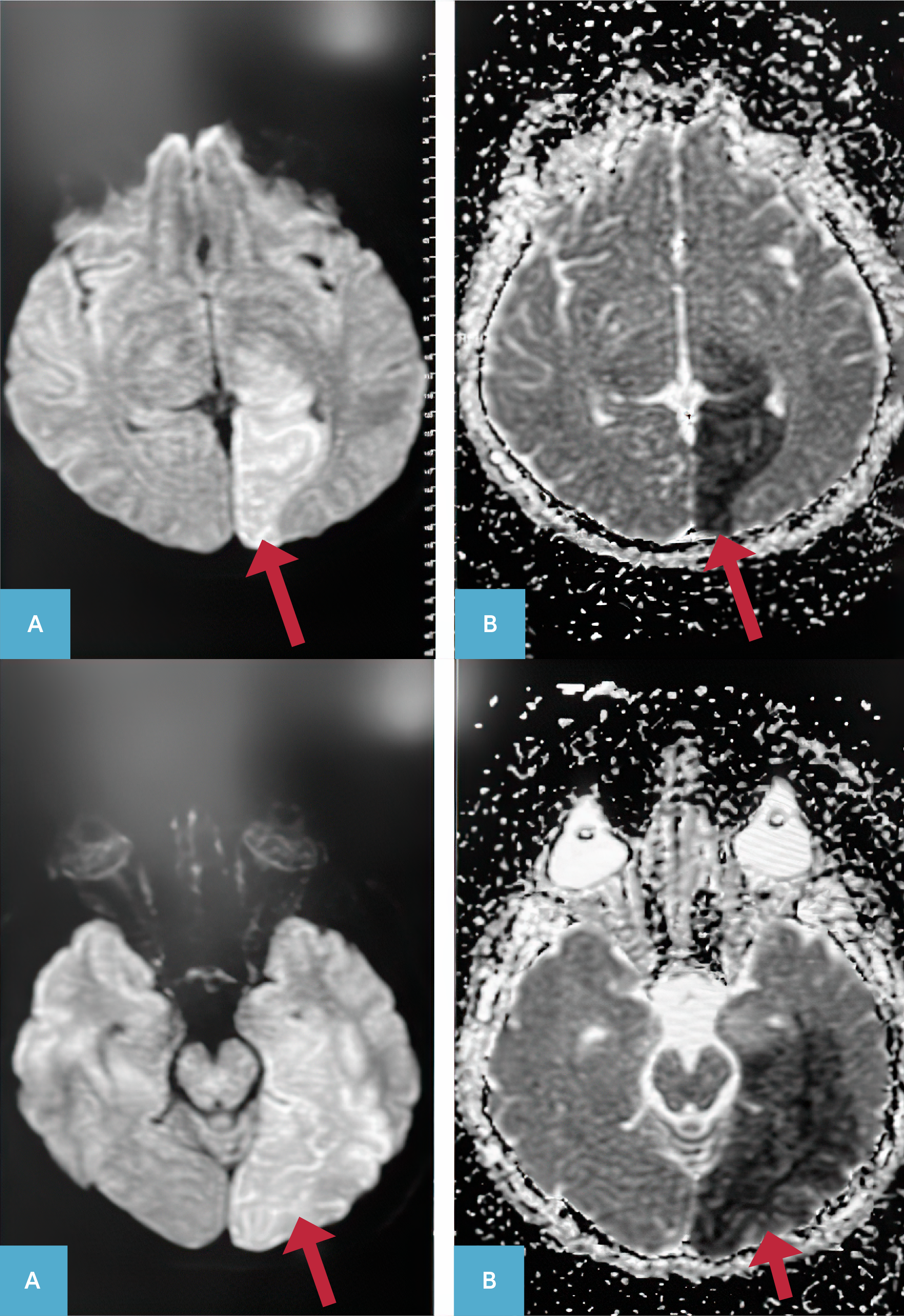
Resim 1.Serebral Difüzyon Manyetik Rezonans Görüntülemede Sol Posterior Serebral Arter Sulama Alanında Akut Enfarkt ile Uyumlu Difüzyon Kısıtlaması* A) Difüzyon ağırlıklı kesitler, B) Görünür difüzyon katsayısı ağırlıklı incelemeye ait kesitler. *Difüzyon kısıtlanmalarının olduğu lokalizasyonlar kırmızı oklarla gösterildi.
Kırk bir yaşındaki erkek hasta bilinç bulanıklığı, konuşmada bozulma, ateş yüksekliği ile acil servisimize başvurdu. Hastanın ateş yüksekliği ve halsizlik şikayetiyle tekrarlayan hastane başvuruları vardı ve şikayetlerine göğüs ağrısı eklenmesi nedeniyle üç gün önce başvurduğu dış merkezde akut koroner sendrom (AKS) tanısıyla anjiografi yapılmış, koroner stent takılmış ve sonrasında taburcu edilmişti. Kronik hastalığı ve düzenli kullandığı medikal tedavisi olmayan hastanın ilk değerlendirmesinde; vücut sıcaklığı 39.1°C, nabız sayısı 115/dakika (sinüs taşikardisi), solunum sayısı 22/dakika ve arteriyel kan basıncı 110/80 mmHg olarak tespit edildi. Genel durumu kötü, bilinç letarjik ve Glasgow koma skoru 12 idi. Oryantasyon ve kooperasyonu yoktu, ense sertliği mevcuttu. Kardiyak üfürüm duyulmadı. Hastanın kas gücü sağ üst ekstremitede 1/5, sağ altta 3/5, sol ekstremitelerdeyse 4/5’ti. Diğer sistemik muayeneler doğaldı. Lökosit sayısı 30 860/mm3, nötrofil sayısı 29 230/mm3, trombosit sayısı 289 000/mm3, alanin aminotransferaz (ALT) değeri 116 Ü/lt, aspartat aminotransferaz (AST) değeri 101 Ü/lt, üre düzeyi 49 mg/dl, kreatinin değeri 1.28 mg/dl, C-reaktif protein (CRP) değeri 128 mg/lt, prokalsitonin (PCT) değeri 46.48 ng/ml, arteryal kan laktat değeri 23.68 mg/dl idi. Tam idrar tetkikinde patoloji yoktu. Serebral bilgisayarlı tomografi (BT) ve toraks BT’de patoloji saptanmadı. Serebral difüzyon manyetik rezonans görüntülemede, sol posterior serebral arter (PCA) sulama alanına uyan lokalizasyonda akut enfarkt alanı mevcuttu (Şekil 1).
Nöroloji Kliniği tarafından akut serebrovasküler hastalık tanısıyla yatışı planlanan hasta ateş yüksekliği açısından değerlendirildi. Menenjit ön tanısıyla yakın zamanlı girişimsel bir işlem öyküsü olması nedeniyle kan kültürü gönderildikten sonra hastaya meropenem (6 gram/gün üç eşit dozda) ve parenteral sıvı tedavisi başlandı; lomber ponksiyon yapıldı. Beyin omurilik sıvısı (BOS) bulgularına bakıldığında; berrak ve renksiz görünüm, glukoz değeri 62 mg/dl ve eş zamanlı bakılan kan şekeri değeri 116 mg/dl, total protein değeri 70.8 mg/dl, eritrosit sayısı 20/mm3 ve lökosit sayısı 190/mm3 olarak tespit edildi. Gram boyamada mikroorganizma görülmedi ve her alanda 2-3 lökosit hücresi (%90 polimorfonükleer lökosit) tespit edildi. Kardiyoloji Kliniği hastayı infektif endokardit açısından transtorasik ekokardiyografi (TTE) ile değerlendirdi; kalp kapaklarında ve boşluklarında trombüs ve vejetasyon izlenmedi. Sepsis ve menenjit tanılarının yanı sıra İE ön tanısıyla yoğun bakım yatışı yapıldı. Beyin omurilik sıvısı kültüründe üreme olmadı. Alınan iki set kan kültüründe metisiline duyarlı Staphylococcus aureus (MSSA) üremesi oldu. Tekrarlanan TTE’de mitral kapak atrium yüzünde, kapak bazaline yapışık 6×9 mm boyutlarında vejetasyon ile uyumlu kitle tespit edildi. Hastaya transözefagial ekokardiyografi yapılamadı. Septik enfarktlar açısından yapılan batın ultrasonografide patoloji saptanmadı. Hastaya İE tanısı konuldu; tedavisi sefazolin ve vankomisin olarak düzenlendi. Kardiyovasküler Cerrahi Kliniği tarafından değerlendirilen hastaya acil cerrahi girişim düşünülmedi. Çok sayıda komplikasyonu olan ve genel durumu bozulan hasta yoğun bakım takibindeyken kaybedildi.
İRDELEME
İnfektif endokardit; nadir görülen, gelişen tanı ve tedavi seçeneklerine rağmen halen yüksek mortalite oranına sahip olan bir infeksiyon hastalığıdır. Hastalığı erken tanımak önemlidir ancak hastaların çoğunda tanı geç konmakta hatta konulamamaktadır. Erken tanı, uygun tedavinin başlatılabilmesinin yanı sıra morbidite ve mortalitenin azaltılması açısından çok önemlidir (1). Yapılan bir çalışmada; İE tanısıyla takipli hastaların yarısından fazlasında ilk hastane başvurusunda İE’nin düşünülmediği ve bu hastalarda mortalitenin, ilk baştan itibaren İE düşünülen hastalardan daha yüksek olduğu bildirilmiştir (2). Benzer şekilde, olgumuzda da ateş yüksekliği ile yaptığı önceki başvurularında İE’den şüphelenilmemişti; tanı AKS, menenjit, serebral enfarkt ve sepsis komplikasyonları ortaya çıktıktan sonra konulabildi.
Doğal kapak tutulumlu İE hastalarının daha genç (≤65 yaş) olmalarının yanı sıra komplikasyonlarının (vejetasyon görülme sıklığı, kalp yetmezliği, septik şok), cerrahi gereksinimlerinin ve mortalite hızlarının daha yüksek olduğu bildirilmiştir (3).
Staphylococcus aureus’a bağlı İE’de, klinik fülminan seyir ve daha sık metastatik komplikasyon görülebilir; mortalite oranı da %40’ın üzerindedir (4). Literatürle uyumlu olarak genç olan hastamızda mitral kapak tutulumu vardı ve kan kültürlerinde MSSA üredi; İE’ye çok sayıda komplikasyon eşlik etti ve tedaviye rağmen hastalık mortalite ile sonuçlandı.
İnfektif endokardit; nörolojik, kardiyolojik ve pulmoner komplikasyonların yanı sıra sistemik infeksiyonlara (metastatik infeksiyon, embolizasyon ve mikotik anevrizma) yol açabilir. Hastaların %15-30’unda semptomatik nörolojik komplikasyonlar görülebilmektedir; en sık görüleni iskemik inmedir (1). İnfektif endokarditte, iskemik ve hemorajik inmeler morbidite ve mortaliteyi artırabilir (5). Hastamızda sol PCA’ya ait iskemik inme ve menenjit komplikasyonları mevcuttu.
Bir çalışmada, sol kapak infektif endokarditi olan 481 hastanın 14 (%3)’ünde hastalığın komplikasyonu olarak AKS saptanmıştır. Söz konusu olguların 12’sinde aort kapağında tutulum, bir olguda ise doğal mitral kapak tutulumu bildirilmiştir; en sık karşılaşılan etken olarak S. aureus bildirilmiş ve bu durum artmış mortalite oranıyla ilişkili bulunmuştur (6). Arslan ve arkadaşları (7) Abiotrophia defectiva’ya bağlı mitral kapak tutulumu olan bir İE olgusunda erken komplikasyon olarak gelişen AKS bildirmiştir. Söz konusu olguda 10 gün devam eden göğüs ağrısı ve nefes darlığı şikayetleri mevcut olup hastaneye başvurusu sırasında AKS saptandığı ve koroner stent takıldığı görüldü. Benzer şekilde bizim olgumuzda da bir haftadır devam eden ateş yüksekliğine eşlik eden göğüs ağrısı mevcuttu ve AKS tanısıyla koroner stent takılmıştı. Sepsis gelişmiş İE’li olgularda; yüksek LDH, bilirubin ve kreatinin değerlerinin yanı sıra trombositopeni saptanabileceği bildirilmiştir (1). Başvuru sırasında PCT düzeyinin>0.5 ng/ml olmasının kötü prognozla ilişkili olduğu tespit edilmiştir (8). Hastamız başvurusunda sepsis kliniğindeydi ve bilirubin, ALT, AST, kreatinin ile LDH ve prokalsitonin değerleri normal değerlerin üstündeydi. Literatürde benzer komplikasyonlardan bahsedilmekle birlikte hastamızda sepsis, menenjit, akut serebral enfarkt ve AKS komplikasyonlarının aynı anda mevcut olması hastalığın yönetimini zorlaştırmış ve mortaliteye yol açmıştır.
Hastamızın kan kültürlerinde S. aureus üredi ve S. aureus’un mevcut komplikasyonlar ve kötü prognozdan sorumlu etkenlerden biri olduğu düşünüldü (4, 6). Ülkemizde yayımlanmış bir makalede, piyelonefrit ile prezente olmuş ve tedavisinde sefazolin kullanılmış doğal mitral kapak tutulumlu MSSA endokarditi bildirilmiştir (9). Ülkemizde, MSSA İE’nin tedavisinde antistafilokoksik penisilinler bulunmadığı için öncelikle sefazolin kullanılması önerilmektedir (1). Ancak sefazolinin olumsuz yanı santral sinir sistemi (SSS)’ne geçememesidir (10). Özellikle SSS septik embolisinin eşlik ettiği olgularda sefazolin tek başına kullanılmamalıdır (1). Septik SSS embolizmi olan MSSA İE’li hastalarda sefazolin + vankomisin veya tek başına sefotaksim tedavisi önerilmektedir (10). Hastamızın yakın geçmişte girişim öyküsü olması ve menenjit ön tanısı alması nedeniyle ilk değerlendirmesinde tedavisi meropenem ile başladı; ancak MSSA’ya bağlı İE tanısı konulmasıyla beraber tedavi sefazolin ve vankomisin olarak revize edildi. Hasta yoğun bakım takibindeyken vankomisin ve sefazolin tedavisinin beşinci gününde kaybedildi.
İnfektif endokarditte erken tanı ve tedavi, prognozu iyileştirmek ve mortaliteyi azaltmak için önemlidir. Ateş yüksekliğinin eşlik ettiği AKS ya da nörolojik defisitle başvuran hastalarda akılda tutulmalıdır. Sonuç olarak; İE’nin tanısı için şüpheci bir yaklaşım gereklidir ve hastalığın farklı komplikasyonlarla ilerleyebileceği unutulmamalıdır.
Hasta Onamı
Hasta yoğun bakımda süren tedavisi sırasında kaybedildiği için yayım için kardeşinden bilgilendirilmiş onam formu alınmıştır.
Danışman Değerlendirmesi
Bağımsız dış danışman.
Yazar Katkıları
Fikir/Kavram – M.S.Ş.; Tasarım – M.S.Ş.; Denetleme – M.S.Ş.; Kaynak ve Fon Sağlama – M.S.Ş.; Malzemeler/Hastalar – M.S.Ş.; Veri Toplama ve/veya İşleme – M.S.Ş., S.A.; Analiz ve/veya Yorum – M.S.Ş., S.A.; Literatür Taraması – M.S.Ş., S.A.; Makale Yazımı – M.S.Ş., S.A.; Eleştirel İnceleme – M.S.Ş., S.A.
Çıkar Çatışması
Yazarlar herhangi bir çıkar çatışması bildirmemiştir.
Finansal Destek
Yazarlar finansal destek beyan etmemiştir.
Referanslar
- Şimşek-Yavuz S, Akar AR, Aydoğdu S, et al. [Diagnosis, treatment and prevention of infective endocarditis: Turkish consensus report]. Klimik Derg. 2019;32(Suppl. 1):2-116. Turkish. [CrossRef]
- Naderi HR, Sheybani F, Erfani SS. Errors in diagnosis of infective endocarditis. Epidemiol Infect. 2018;146(3):394-400. [CrossRef]
- Olmos C, Vilacosta I, Fernández C, et al. Comparison of clinical features of left-sided infective endocarditis involving previously normal versus previously abnormal valves. Am J Cardiol. 2014;114(2):278-83. [CrossRef]
- Fowler VG, Scheld WM, Bayer AS. Endocarditis and intravascular infections. In: Bennett JE, Dolin R, Blaser MJ, eds. Mandell, Douglas, and Bennett’s Principles and Practice of Infectious Diseases. 8th ed. Philadelphia, PA: Elsevier Saunders, 2015: 990-1028.
- García-Cabrera E, Fernández-Hidalgo N, Almirante B, et al; Group for the Study of Cardiovascular Infections of the Andalusian Society of Infectious Diseases; Spanish Network for Research in Infectious Diseases. Neurological complications of infective endocarditis: risk factors, outcome, and impact of cardiac surgery: a multicenter observational study. Circulation. 2013;127(23):2272-84. [CrossRef]
- Manzano MC, Vilacosta I, San Román JA, et al. [Acute coronary syndrome in infective endocarditis]. Rev Esp Cardiol. 2007;60(1):24-31. Spanish.
- Arslan K, Alev M, Cesur S, Kaya Kılıç E, Ataman Hatipoğlu Ç, Kınıklı S. [Infective endocarditis case due to Abiotrophia defectiva concurrent with septic embolism and acute coronary syndrome]. Ortadogu Tıp Derg. 2018;10(2):209-12. Turkish. [CrossRef]
- Cornelissen CG, Frechen DA, Schreiner K, Marx N, Krüger S. Inflammatory parameters and prediction of prognosis in infective endocarditis. BMC Infect Dis. 2013;13:272. [CrossRef]
- Ulu-Kılıç A, Tütüncü E, Sarı S, et al. [Embolic complications of infective endocarditis: Report of two cases and review of national literature]. Klimik Derg. 2011;24(1):179-83. Turkish. [CrossRef]
- Baddour LM, Wilson WR, Bayer AS, et al; American Heart Association Committee on Rheumatic Fever, Endocarditis, and Kawasaki Disease of the Council on Cardiovascular Disease in the Young, Council on Clinical Cardiology, Council on Cardiovascular Surgery and Anesthesia, and Stroke Council. Infective endocarditis in adults: Diagnosis, antimicrobial therapy, and management of complications: A scientific statement for healthcare professionals from the American Heart Association. Circulation. 2015;132(15):1435-86. Erratum in: Circulation. 2015;132(17):e215. Erratum in: Circulation. 2016;134(8):e113. Erratum in: Circulation. 2018;138(5):e78-e79. [CrossRef]