En Çok Okunanlar
Özet
Tip 2 diabetes mellitus (T2DM) hastalarında, Koronavirus hastalığı 2019 (COVID-19)’un tedavisi ve önlenmesi için farmakolojik yaklaşımlar üzerine araştırmalar oldukça kısıtlıdır. Bu olgumuzda, pandemi kliniğinde COVID-19 tanısı ile takip ve tedavi edilen 51 yaşında bir erkek hastanın diyabet yönetimi sunulmaktadır. Hastanın kullanmakta olduğu metformin (2000 mg/gün) ile oral tedaviye devam edilirken, insülin glarjin U100 (IGlar100) subkutan olarak tedaviye eklendi. Ayrıca hastaya enoksaparin, hidroksiklorokin, azitromisin başlandı. Hastanın takiplerinde solunum sıkıntısı ve takipne (26 soluk/dk), yüksek ateş (38.3oC), artmış CRP (42 mg/dL) ve azalmış oksijen satürasyonu (%91) tespit edildi. Bunun üzerine tedaviye favipiravir eklendi ve olası laktik asidoz riski nedeniyle metformin durduruldu. Daha yoğun etkisi ve daha düşük hipoglisemi riski olan IGlar300 tedavisine geçilirken, IGlar100 tedavisi kesildi. Takiplerde kan şekeri; açlık 100-140 mg/dL arasında ve tokluk 140-180 mg/dL arasında tutulmak üzere IGlar300 ile titrasyonu sağlandı. Bu amaçla yapılan izlemde, en fazla 34 ünite/gün insülin ihtiyacı oldu. Kapiller kan şekeri takibi, başlangıçta 12 saatte bir olarak gerçekleştirildi; ilerleyen süreçte ise günde bir şeklinde azaltıldı. İnfeksiyon kontrol altına alındıkça, ihtiyaç olan IGlar300 dozu, 14 ünite/gün seviyesine geriledi. Diyabet eğitimi sonrası, metformin ve IGlar300 ile hastanın taburculuğu yapıldı. IGlar300, COVID-19 pandemisinde diyabetle etkin mücadele sağlayabilir. Ayrıca hem hastanın glisemik anlamda tedavi güvenliğine, hem de sağlık çalışanlarının azalan teması sayesinde minimal bulaş güvenliğine ciddi anlamda katkı sağlanabilir.
GİRİŞ
Koronavirus hastalığı 2019 (COVID-19) pandemisi tüm dünyayı etkilemeye devam etmektedir. En önemli korunma yöntemi ise hasta veya taşıyıcı olan bireyler ile temasın azaltılması olarak bildirilmektedir (1,2). Bunun yanında bireylerde, altta yatan diğer hastalıklar, bu pandeminin daha ağır seyretmesine sebep olmaktadır. Mortalitenin ve morbiditenin en önemli sebepleri, ileri yaş ve kronik hastalıkların varlığıdır. Kronik hastalıkların kontrol altında tutulması, hastalardaki infeksiyon halinin seyri açısından oldukça önemlidir (1,3). Bu bağlamda, COVID-19 hastalığında solunum sistemi tutulumuyla mücadeleye ek olarak, kişinin komorbidite durumuyla da yakından ilgilenilmesi pandemi ile mücadelede önemli bir yer tutar.
Kronik hastalıklara sahip kişilerde infeksiyona eğilimin olduğu zaten bilinmektedir. Dahası, bu hastalarda mevcut infeksiyonun daha zor iyileştiği ve sağlık sisteminde önemli bir mücadele alanı oluşturduğu da bir gerçektir (2,3). Tip 2 diabetes mellitus (T2DM), toplumdaki sıklığı oldukça yüksek olan ve adeta mevsim ayırt etmeden ilerleyen ikinci bir pandemi gibidir (4). Türkiye’deki T2DM prevalansı 2003 yılında %7.2 iken, 2012 yılında bu oran %16.5’e yükselmiştir (5). Kan şekerinin kontrol altında tutulması komplikasyonlarla mücadelede ne kadar önemli yer tutuyorsa, komplikasyonların kontrol altında tutulması da normogliseminin ne kadar etkin sağlandığına bağlıdır (4,5). Diyabetli kişilerde, COVID-19’un tedavisi ve önlenmesi için farmakolojik tedaviler üzerine araştırmalar oldukça kısıtlı olup çok daha fazlasına acilen ihtiyaç vardır.
Hipoglisemi ve hiperglisemi ataklarının önüne geçilmesinde sıklıkla kullanılan insülinlerden biri olan insülin glarjin U300 (IGlar300) penceresinden, COVID-19 ile infekte bir olgudaki T2DM yönetimini dile getirmeyi amaçladık.
OLGU SUNUMU
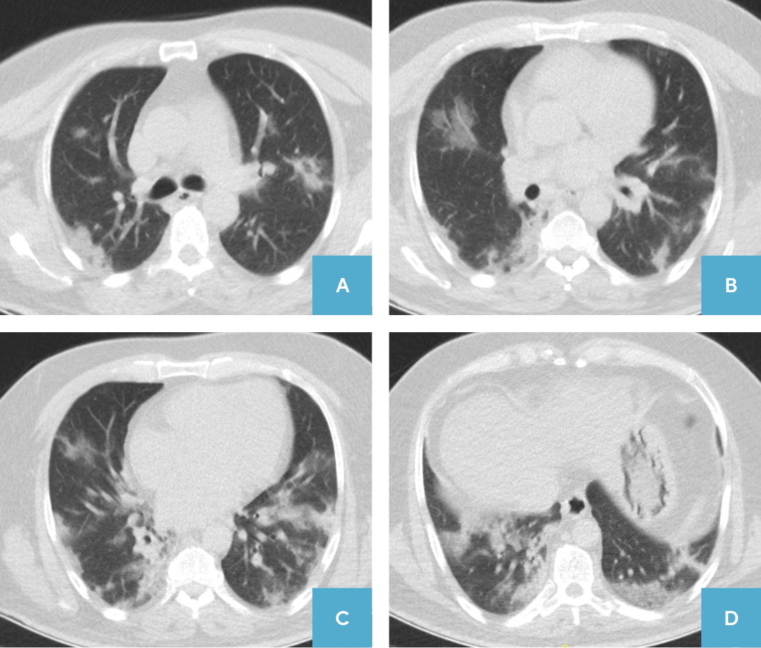
51 yaşında, sağlık çalışanı olan erkek hasta, kuru öksürük ve yaygın halsizlik şikayeti ile Kayseri Şehir Hastanesi Pandemi Polikliniği’ne başvurmuş ve COVID-19 öntanısı ile pandemi servisine yatırılmıştır. Bilinen 6 yıldır T2DM tanısı olan hasta, metformin (2000 mg/gün) kullanıyor olup başka ek hastalığı ve ilaç kullanım öyküsü yoktu. Yatışında kaydedilen kan basıncı 110/60 mm Hg, nabız 112 atım/dk, solunum sayısı 20 soluk/dk, ateş 37.2oC ve pulse oksimetre ile ölçülen oksijen satürasyonu %98 idi. Kan tetkik sonuçlarında; beyaz küre 3070 (4500-10000) µL/mm3, hemoglobin 17.6 (13-17) g/dL, trombosit 138000 (150000-450000) µL, nötrofil 2160 (1800-7500) µL, lenfosit 630 (800-3200) µL/mm3, BUN 14 (6-20) mg/dL, kreatin 0.95 (0.7-1.2) mg/dL, AST 49 (0-40) U/L, ALT 74 (0-41) U/L, CRP 4.5 (0-5) mg/dL, D-dimer (FEU) 350 (0-500) µg/L, glikoz (yatış anı, rastgele) 307 (70-200) mg/dL, HbA1c %9.1 (<6.5) olarak tespit edilmiştir. Kontrastsız toraks bilgisayarlı tomografi görüntülemesinde, her iki akciğerin tüm loblarında yaygın olarak santral ve periferik buzlu cam görünümleri ve bazılarında kaldırım taşı değişimi izlenmiştir (Resim 1). Hastaya, T.C. Sağlık Bakanlığı COVID-19 Tedavi Rehberi’ne göre; enoksaparin 0.6/gün IU subkutan, hidroksiklorokin tablet (başlangıç 800 mg/gün, idame 400 mg/gün) ve azitromisin tablet (başlangıç 500/gün mg, idame 250 mg/gün) başlanmıştır.
Nazofaringeal sürüntü ile alınan gerçek zamanlı ters transkripsiyon polimeraz zincir reaksiyonu (rRT-PCR) tetkik sonucu pozitif (+) olarak sonuçlandı. Aynı zamanda altı saat arayla, parmak kapiller kan şekeri takibi yapılarak metformin tedavisine devam edildi. Hipoglisemi riskini düşük tutmak için sadece insülin glarjin U100 (IGlar100) ile diyabet tedavisine katkı sağlandı. IGlar100 tedavisi 12 ünite/gün olarak başlandı ve 4-6 ünite/gün olarak artırılarak, 28 ünite/gün dozuna kadar çıkıldı. Hastanın takiplerinde solunum sıkıntısı ve takipne (26 soluk/dk), yüksek ateş (38.3oC), artmış CRP (42 mg/dL) ve azalmış oksijen satürasyonu (%91) tespit edildi. Bunun üzerine tedaviye favipiravir tablet (başlangıç 3200 mg/gün, idame 1200 mg/gün) eklendi ve olası asidoz riski nedeniyle metformin durduruldu. Daha yoğun etkisi ve daha düşük hipoglisemi riski olan IGlar300 tedavisine geçilirken IGlar100 ise kesildi. Bu geçiş esnasında uygulanan insülin 28 ünite/gün ile başlandı ve takiplerde kan şekeri rehberlerdeki öneriler ışığında, açlık 100-140 mg/dL arasında ve tokluk 140-180 mg/dL arasında tutulmak üzere IGlar300 ile titrasyonu sağlandı. Bu amaçla yapılan izlemde, en fazla 34 ünite/gün insülin ihtiyacı oldu. Kapiller kan şekeri takibi, önce 12 saatte bir yapıldı ve ilerleyen süreçte günde bir şeklinde azaltıldı. İnfeksiyonun alevli dönemlerinde IGlar300 ihtiyacı fazla olan hastada, infeksiyon kontrol altına alındıkça ihtiyaç olan insülin dozu 14 ünite/gün seviyesine kadar geriledi (Şekil 1). Genel durumu düzelen ve infeksiyonu kontrol altına alınan hastanın diğer tüm medikal tedavileri sonlandırılarak, uzaktan video-görüşme şeklinde verilen diyabet eğitimi sonrası metformin ve IGlar300 ile taburculuğu yapıldı.
İRDELEME
COVID-19 pandemisi sürecinde diyabetle mücadele için, IGlar300 tedavisiyle daha etkin ve güvenli bir hasta takibi sağlanabileceği yönünde fikir verebilen bir olgu sunulmaktadır. Günlük tek kalem kullanımı ve tek kan şekeri ölçümü avantajlarının sonucu olarak, sağlık çalışanlarının hastayla temas sayısının azaltılması ise sağlanan ikincil kazançtır.
İnfeksiyon tedavisi altında değişen viral yükün etkisine bağlı gelişen glisemik dalgalanmalar, diyabetik hastalar için oldukça kritik öneme sahiptir (2,4). Dahası COVID-19 tedavisinde verilen hidroksiklorokin, anti-diyabetiklerle birlikte kullanıldığında ciddi bir şekilde hipoglisemiye sebep olabilen bir ajandır (2). Bu bağlamda, aktif infeksiyon esnasındaki en iyi kan şekeri kontrolü insülinler ile sağlanabilir. Genel olarak insülinler, hipoglisemi riski nedeniyle dikkatli kullanım ve yakın takip gerektiren ilaçlardır; ancak bazal insülinler, bu konuda diğerlerine göre daha güvenli ve daha uzun etkili olmaları nedeniyle öne çıkmaktadırlar (4,6). Son yıllarda kullanıma girerek, elimizi etki ve güvenlilik noktasında oldukça güçlendiren IGlar300, 36 saate kadar uzayan ultra-uzun etkisi ve yoğunlaştırılmış formunun katkısıyla hiperglisemik atakları önlemektedir; ayrıca pik etkisinin olmaması ise hipoglisemi açısından oldukça güven vermektedir (4). Bu etkileriyle bildiğimiz IGlar300 tedavisini, olgumuzda da kullanarak etkin kan şekeri kontrolü sağladığımızı göstermiş bulunmaktayız.
Laktik asidoz riski olan akut infeksiyonlarda, metformin tedavisine ara verilmesi önerilmektedir (4). Özellikle hipoksi ile seyreden COVID-19 infeksiyonlarında asidoz riskinin ciddi anlamda artabileceği bildirilmiştir (2). Olgumuzda ise infeksiyon şiddetinin yüksek olması üzerine metformin kesilerek, IGlar300 dozunun yüksek tutulması ile kan şekeri kontrolü sağlanabilmiştir.
Sağlık çalışanlarının, COVID-19 ile infekte hastalarla teması sonrası ciddi risk altında oldukları bilinmektedir (7,8). Bu riskin azaltılması için koruyucu ekipmanların doğru bir şekilde kullanılmasına ek olarak, hasta ile yakın temas süresinin azaltılması da öngörülebilir. Diyabetiklerde, daha etkin ve daha güvenli ilaçların kullanılmasıyla; hem hastanın en uygun tedaviyi alabilmesi, hem de sağlık çalışanlarına bulaş riskinin minimize edilmesi mümkün olabilir. Bu imkanı bize sağlayabilen IGlar300 ile takip ettiğimiz olgumuzda; hem hastanın tedavisi sağlıklı olarak ilerleyebildi, hem de çalışanlarımız için temas süresinin azaltılmasıyla ikincil bir kazanç sağlandı.
Sonuç olarak, oral anti-diyabetik ajanların COVID-19 ile infekte olan hastalardaki olumsuz etkileri kullanımlarını kısıtlamaktadır. Etkililik ve güvenlilik adına başarılı bir olgu takibi yapmamızı sağlayan IGlar300 tedavisi, T2DM hastalardaki COVID-19 pandemisiyle mücadelede etkin rol oynayabilir. Ancak yine de bu konuda geniş kapsamlı kohort çalışmalarıyla desteklenen ileri araştırmalara ihtiyaç vardır.
Hasta Onamı
Hastadan bilgilendirilmiş onam formu alınmıştır.
Danışman Değerlendirmesi
Bağımsız dış danışman.
Yazar Katkıları
Fikir/Kavram – U.S.T., Y.Ş.; Tasarım – U.S.T.; Denetleme – U.S.T., Y.Ş., E.E.; Veri Toplama ve/veya İşleme – U.S.T., Y.Ş., E.E.; Analiz ve/veya Yorum – U.S.T., Y.Ş., E.E.; Literatür Taraması – U.S.T., Y.Ş.; Makale Yazımı – U.S.T.; Eleştirel İnceleme – U.S.T., Y.Ş., E.E.
Çıkar Çatışması
Yazarlar herhangi bir çıkar çatışması bildirmemiştir.
Finansal Destek
Yazarlar finansal destek beyan etmemişlerdir.
Teşekkür
Hastanın yakın izleminde bulunan hemşiresi Ayla Turhal ve diyabet eğitmeni Rukiye Baydemir’e teşekkür ederiz.
Referanslar
- Azkur AK, Akdis M, Azkur D, et al. Immune response to SARS-CoV-2 and mechanisms of immunopathological changes in COVID-19. Allergy. 2020 Jul;75(7):1564-1581. [CrossRef]
- Katulanda P, Dissanayake HA, Ranathunga I, et al. Prevention and management of COVID-19 among patients with diabetes: an appraisal of the literature. Diabetologia. 2020 Aug;63(8):1440-1452. [CrossRef]
- Lian J, Jin X, Hao S, Jia H, Cai H, Zhang X, et al. Epidemiological, clinical, and virological characteristics of 465 hospitalized cases of coronavirus disease 2019 (COVID-19) from Zhejiang province in China. Influenza Other Respir Viruses. 2020 Sep;14(5):564-574. [CrossRef]
- Lawal M. Management of diabetes mellitus in clinical practice. Br J Nurs. 2008 Sep;17(17):1106-1113. [CrossRef]
- Satman I, Omer B, Tutuncu Y, et al; TURDEP-II Study Group. Twelve-year trends in the prevalence and risk factors of diabetes and prediabetes in Turkish adults. Eur J Epidemiol. 2013 Feb;28(2):169-180. [CrossRef]
- Carey IM, Critchley JA, DeWilde S, Harris T, Hosking FJ, Cook DG. Risk of infection in type 1 and type 2 diabetes compared with the general population: A matched cohort study. Diabetes Care. 2018 Mar;41(3):513-521. [CrossRef]
- Chughtai AA, Seale H, Islam MS, Owais M, Macintyre CR. Policies on the use of respiratory protection for hospital health workers to protect from coronavirus disease (COVID-19). Int J Nurs Stud. 2020 May;105:103567. [CrossRef]
- Bahl P, Doolan C, de Silva C, Chughtai AA, Bourouiba L, MacIntyre CR. Airborne or droplet precautions for health worker streating COVID-19? J InfectDis. 2020;jiaa189. [CrossRef]

